430 E 20th St Suite # MH, New York, NY 10009
Dentist in New York, NY
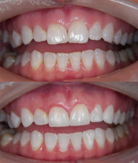
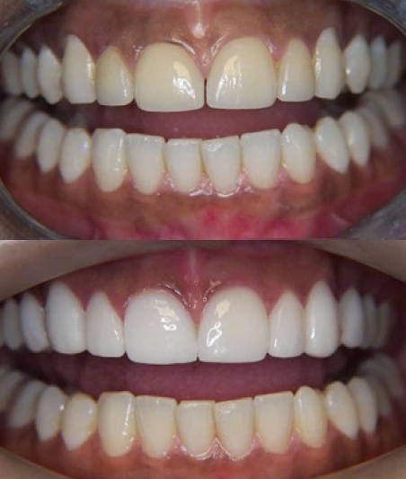
Your Journey to a Healthier Smile Begins Here
Welcome to Stuyvesant Dental, a leading dental practice proudly serving New York with compassionate, comprehensive care for over 35 years. Our experienced team, led by highly skilled and trusted dentists, combines modern dental technology with personalized service to help patients of all ages achieve healthy, confident smiles.
Located in Stuyvesant Town and serving Gramercy Park, Kips Bay, Flatiron, and surrounding neighborhoods, we offer a full range of dental services—from preventive and family dentistry to advanced cosmetic and restorative treatments—right here in your community.
Choose Stuyvesant Dental for trusted dentistry in New York—where experience, technology, and compassion meet to create brighter, healthier smiles.



Get in Touch With Us
430 E 20th St Suite # MH, New York, NY 10009
info@stuydent.com
(212) 473-4151
Office Hours
Wed: 7:45am – 2:00pm
Fri: 8:30am – 4:30pm
Sat: 8:30am – 2:30pm
Sun: Closed
Meet Your Smile Experts
Comprehensive Smile Solutions
Preventive Care
Learn More
Dental Implants
Learn More
Invisalign®
Learn More
Laser Dentistry
Learn More
Gum Disease Treatment
Learn More
Emergency Dentistry
Learn More
Your Old Dentist Vs. Your New
Confusing pricing, unexpected bills
Long waits in a cramped lobby
Weeks or months to get an appointment
Pushed into treatment you didn’t fully understand
Pushed into treatment you didn’t fully understand
Feeling like just another patient on the schedule
Now, here’s what life looks like at Stuyvesant Dental:
Clear, Honest Pricing. We believe high-quality dentistry should be accessible. We provide transparent estimates and flexible payment plans, including in-house and third-party financing.
Easy to Switch. We’ll handle your records, verify insurance, and schedule your first appointment quickly. Most patients say, “I wish I found you sooner.”
No Pressure. Just Real Care. Our doctors don’t upsell or rush you. Every treatment is backed by diagnostics, explained in plain language, and aligned with your goals—not ours.
Fast Appointments. We block out time every day for new patients and emergencies—so you’ll never wait weeks just to get in.
Zero Waiting Room Time. We run on time. Always. Our waiting lounge is designed for guests, not for patients to waste their day.
Yes, We Work With Insurance. We work with most major PPOs and help you maximize your benefits. And even if we’re out-of-network, our quality and efficiency still make us the smart choice.







