430 E 20th St Suite # MH, New York, NY 10009
Real Patient Transformations
Welcome to the Smile Gallery at Stuyvesant Dental, where you can view real before and after photos of patient transformations. See how personalized care and modern dentistry have helped patients achieve healthier, more confident smiles.

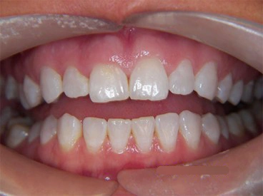
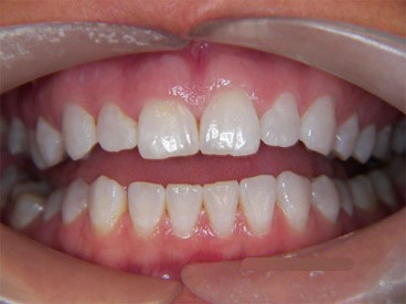
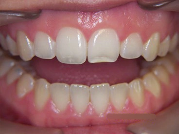
Before

After
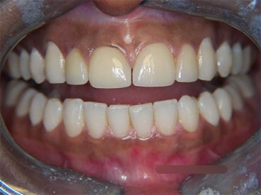
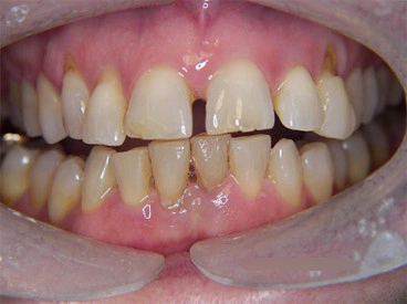
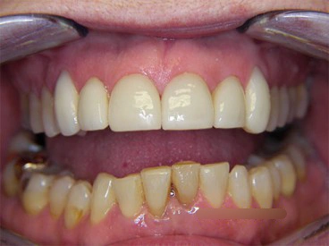
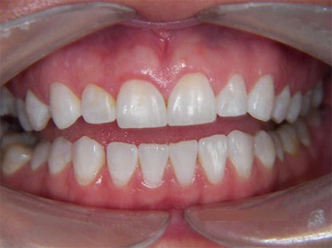
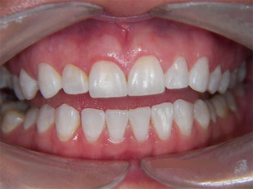
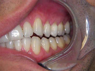
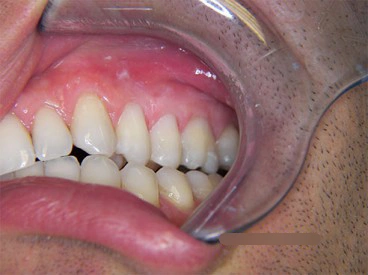
Porcelain Veneer
Porcelain veneers are an extremely popular option for patients seeking a healthy, attractive smile. One of the advantages of porcelain veneers is their versatility.

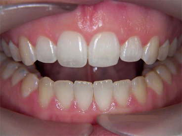
Before

After
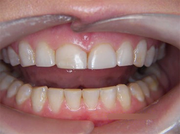
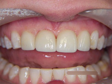
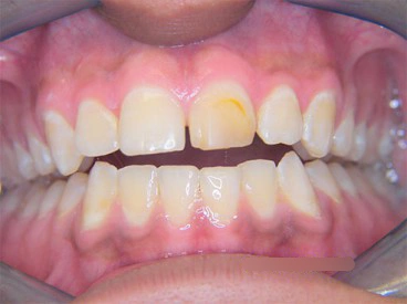
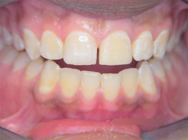
Bonding
Dental bonding is a great way to quickly and affordably repair small imperfections on teeth. In a way, bonding is like a simplified version of a veneer or a crown. While it can’t withstand the kind of abuse that those solutions can, bonding works well in a variety of situations.

Before

After
Bridges
Bridges are a natural-looking method of tooth replacement that work without requiring surgery like dental implants. Bridges are artificial teeth that span the gap a missing tooth leaves. We are proud to offer E.max® and Bruxzir® ceramic bridges, the strongest and most natural looking bridges available.

Before

After
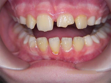
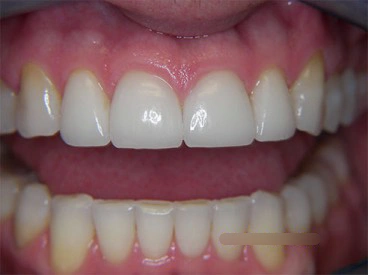
Chipped Teeth
A child fell and fractured his front teeth. Dental bonding is a great way to quickly and affordably repair these teeth. In a way, bonding is like a simplified version of a veneer or a crown. While it can’t withstand the kind of abuse that those solutions can, bonding works well in a variety of situations.

Before

After
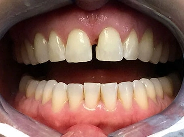
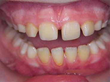
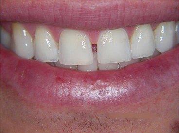
Close Space
Bonding was used as a quick, less expensive way to correct a large, unsightly diastama. A more durable, cosmetic alternative would have been porcelain veneers.

Before

After
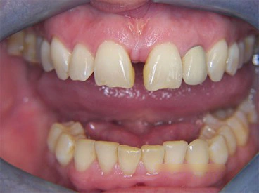
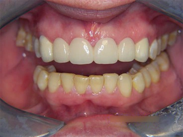
Extreme Makeover
A variety of dental procedures were used to enhance this unattractive smile. Without orthodontics, teeth shaping, laser gum shaping, and porcelain veneers were used to create a most attractive result.

Before

After
Gingevectomies
Too much gum tissue showing (Gummy Smile), with small teeth can easily be enhanced by the use of a laser. Here porcelain veneers were also used to further beautify these teeth.

Before

After
Multiple-Changes
Tooth re-contouring, along with gum shaping (gingevectomy) was used to give this healthier, more attractive smile.

Before

After
Tooth Reshaping
Tooth re-contouring, along with gum shaping (gingevectomy) was used to give this healthier, more attractive smile.

Before

After
Missing Enamel
Your teeth can lose enamel, at the gum line, because of clenching and grinding. This defect can easily be corrected with bonding. The teeth are protected and restored to looking natural.

Before

After
Restore Old Fillings
Dental bonding is a great way to quickly and affordably repair small imperfections on teeth.

Before

After
Worn-Teeth
A poor bite and grinding caused the enamel to be lost at the incisal edges of these teeth. Â Bonding material was used to restore teeth to a stronger more attractive appearance.
